大人の矯正
大人の矯正
盛岡市の歯医者・歯科「高橋衛歯科医院」では、目立ちにくい透明なマウスピース矯正「インビザライン」で、綺麗な歯並びへと導きます。装置が目立つことで矯正治療を躊躇していた方、まずは無料矯正相談にお越しください。
Case
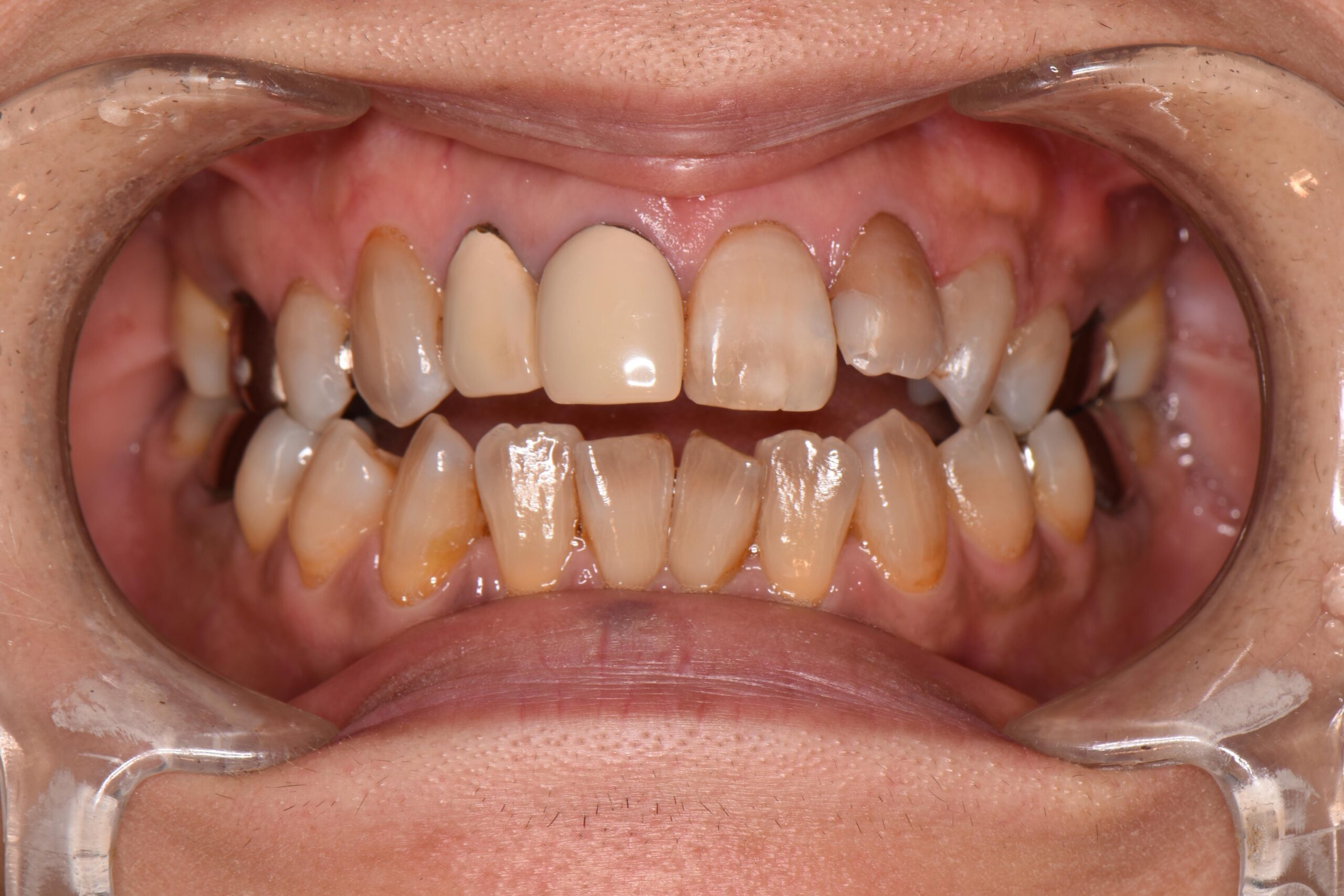
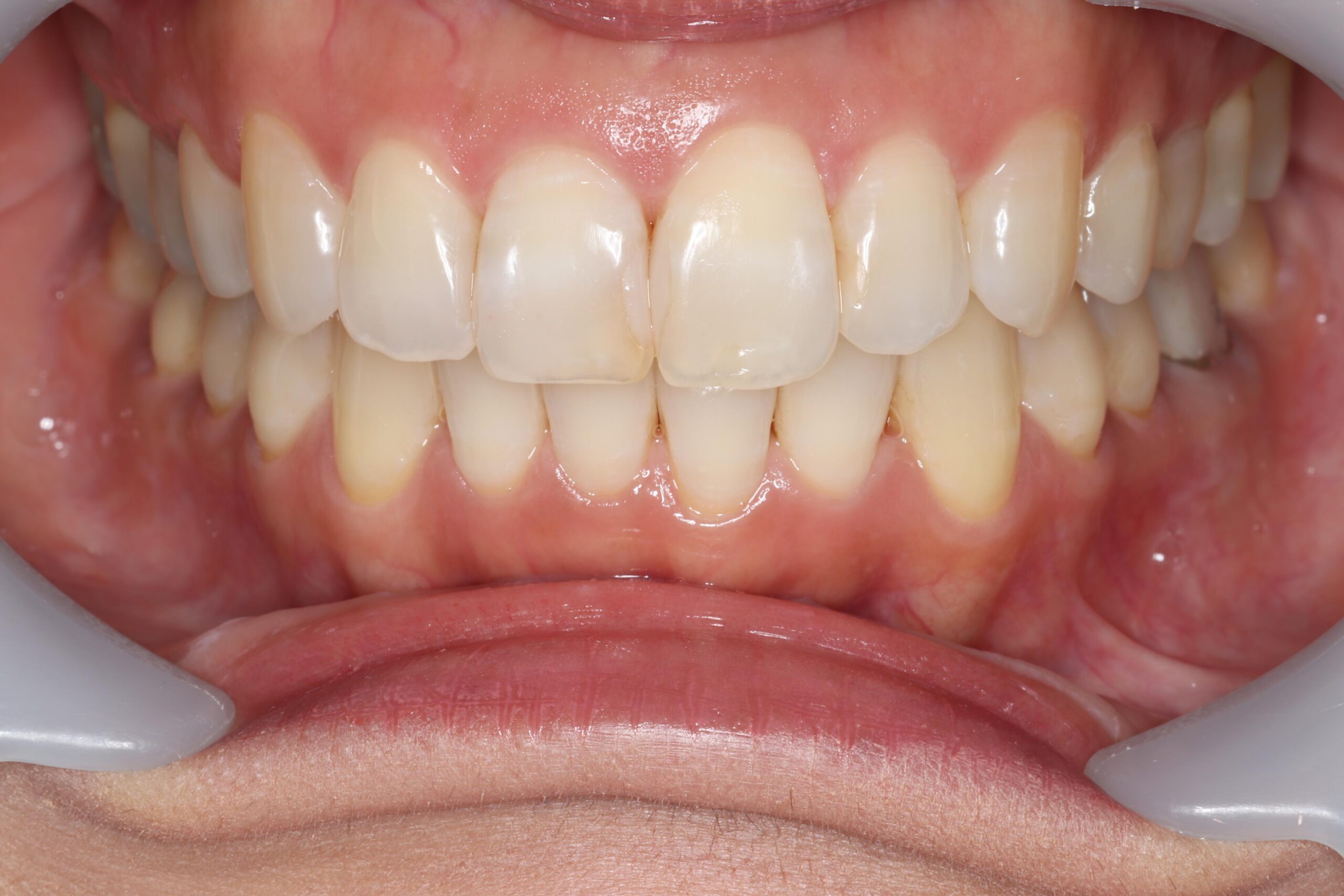
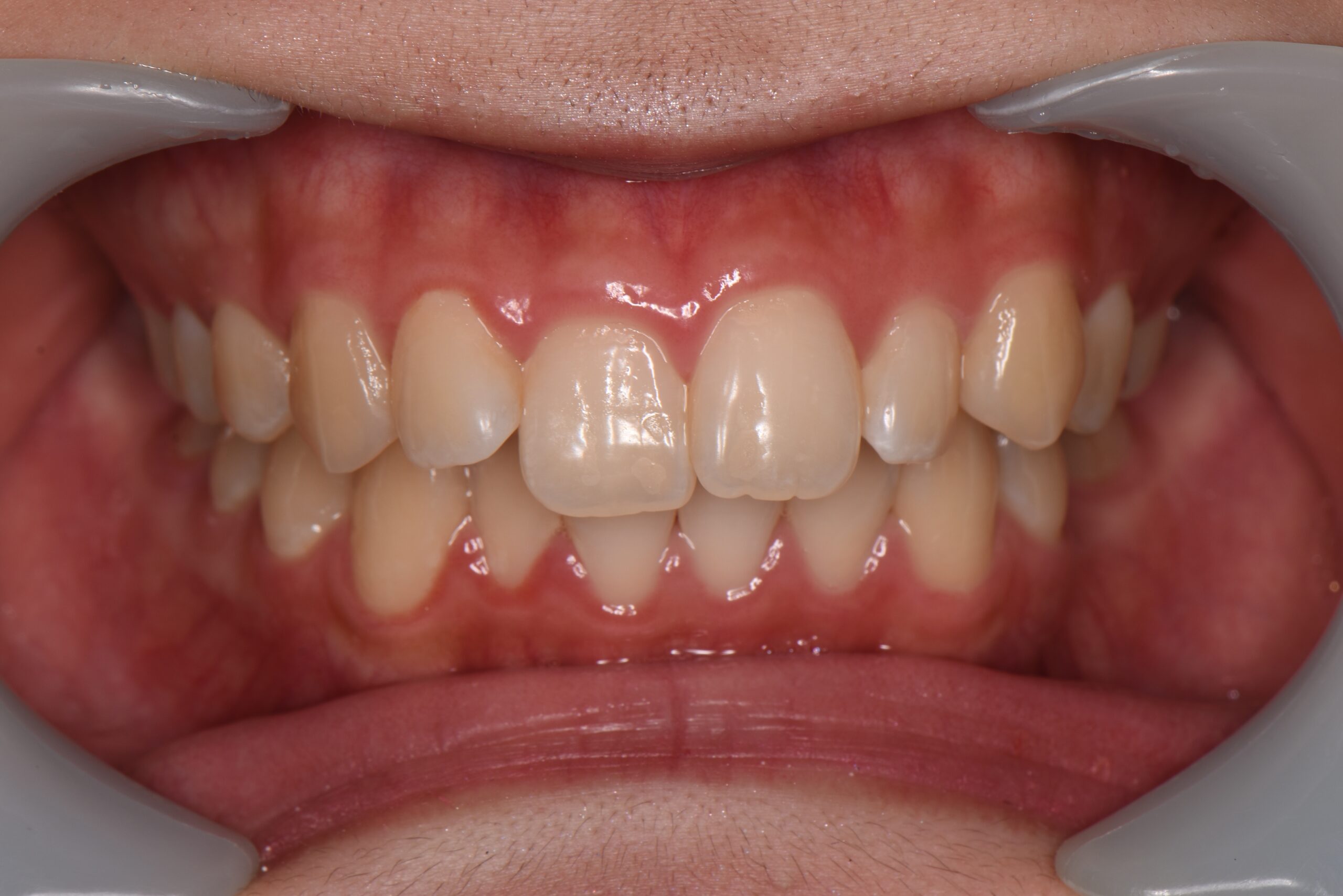
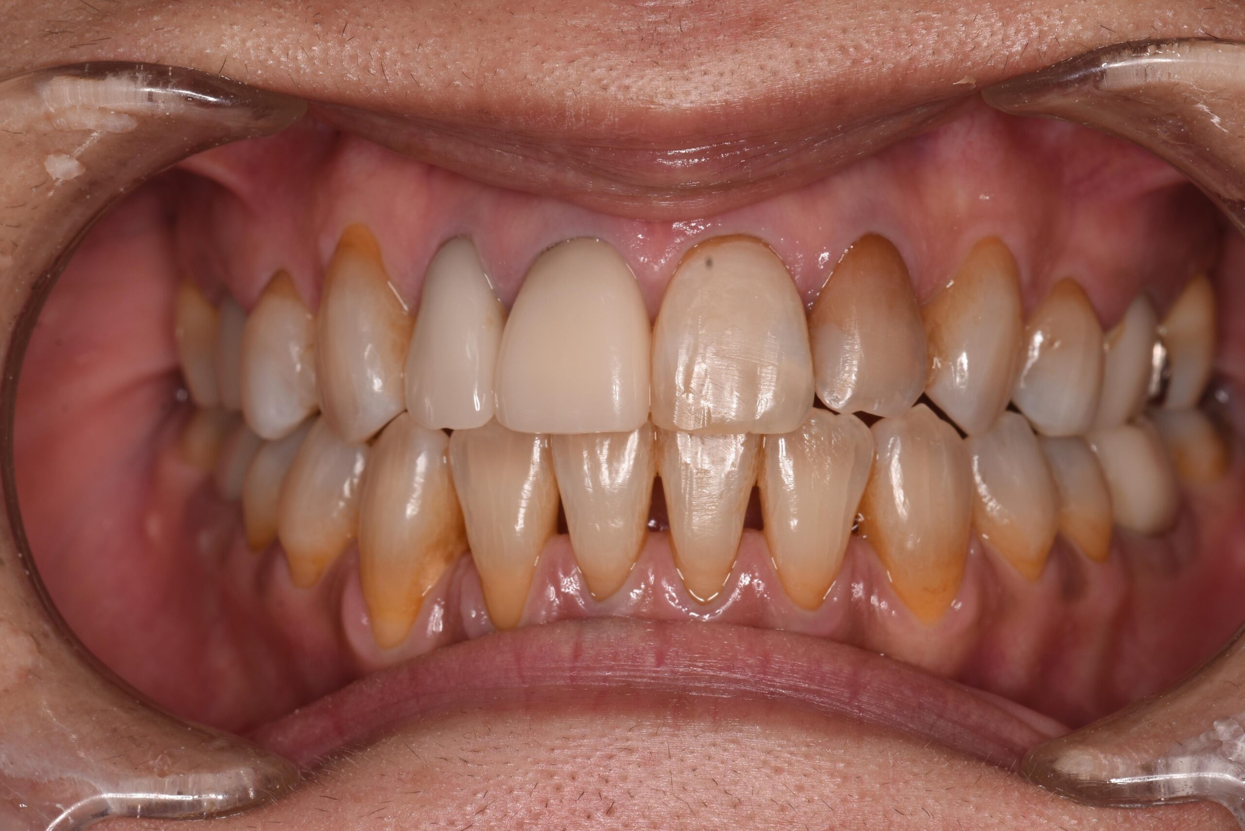
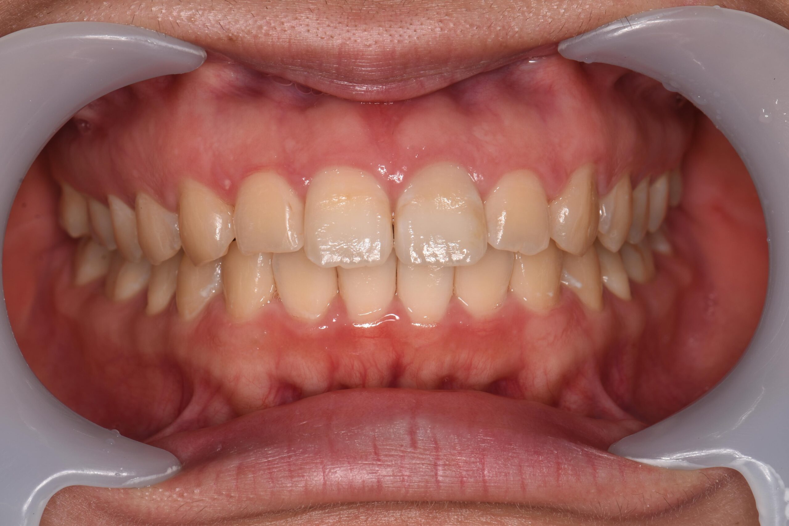
上の前歯が他の歯に比べて前に突き出ている状態です。
見た目のお悩みに限らず、口が閉じにくいためお口の中が乾燥して菌が繁殖し、むし歯や歯周病のリスクが高まります。
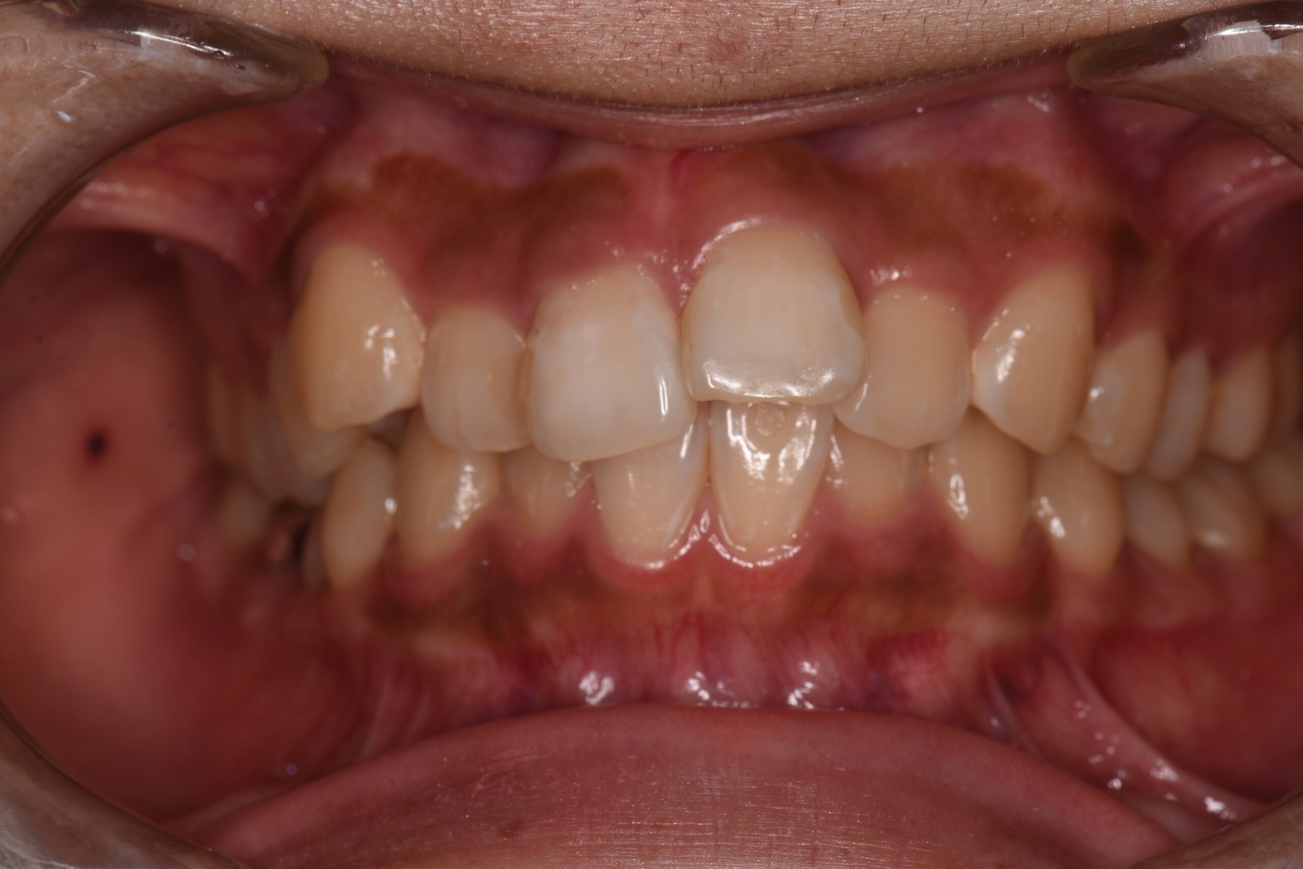
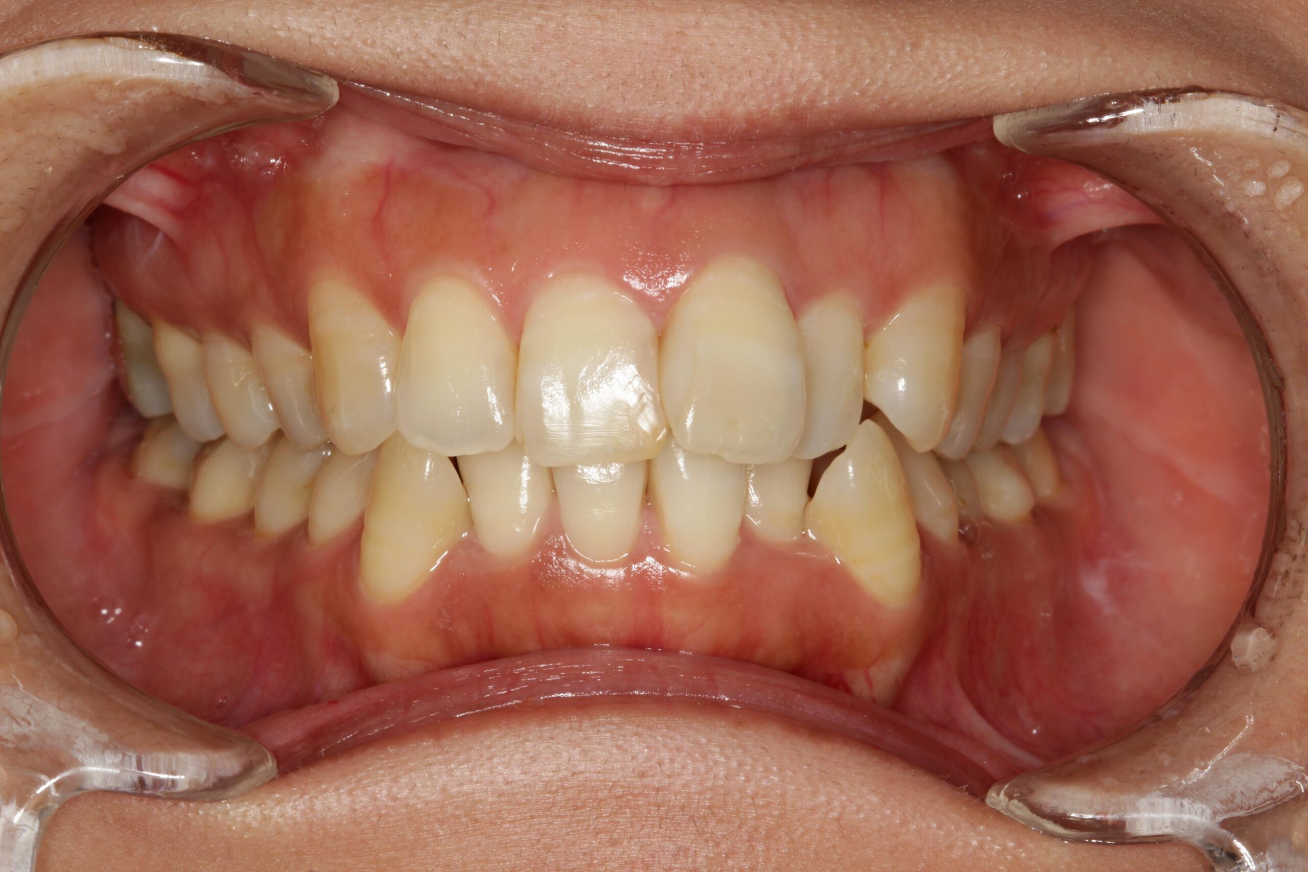
犬歯が外側に飛び出して、他の歯に重なっている状態です。八重歯は噛み合わせに問題が生じたり、歯磨きがしにくいことでむし歯や歯周病の原因となることがあります。
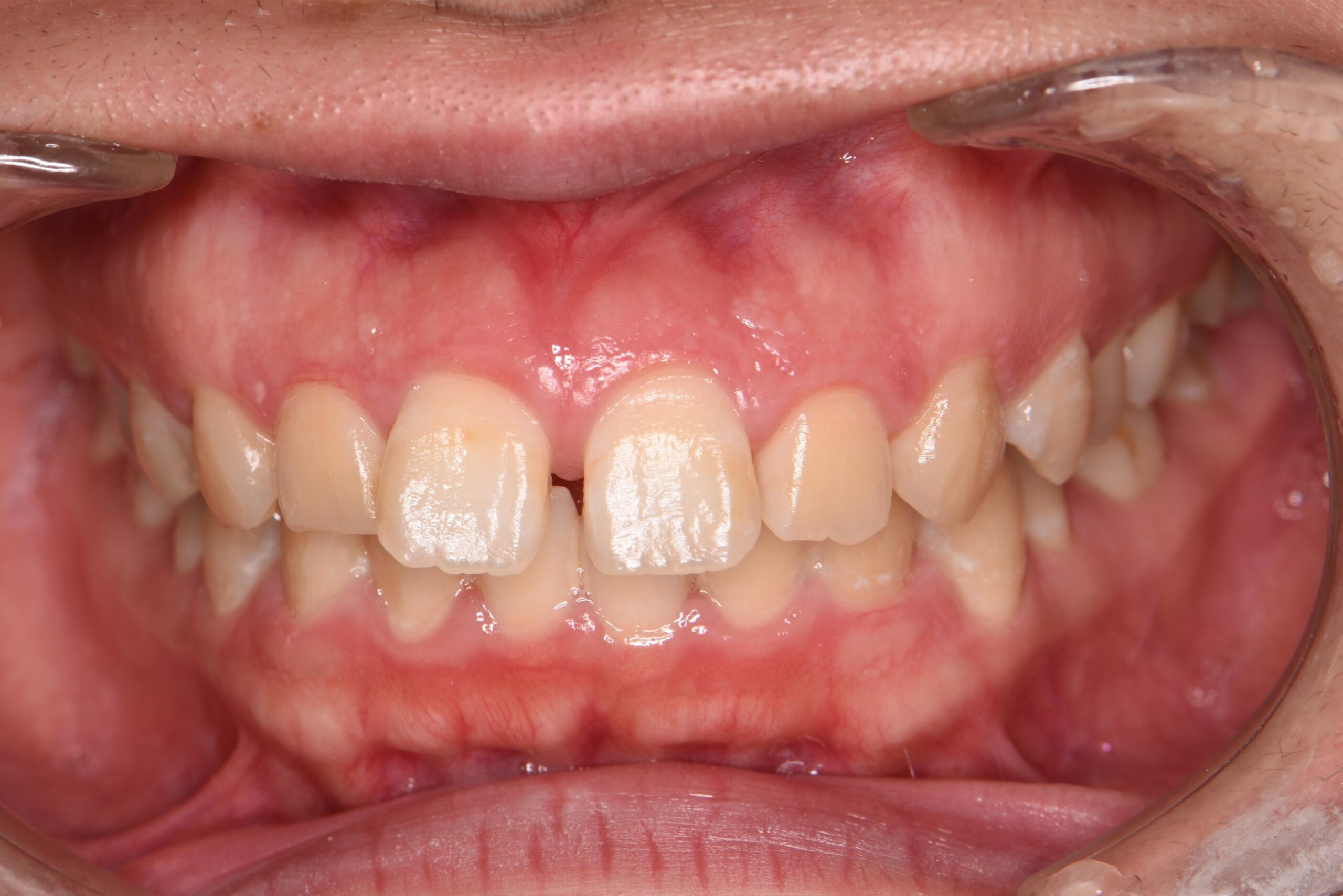
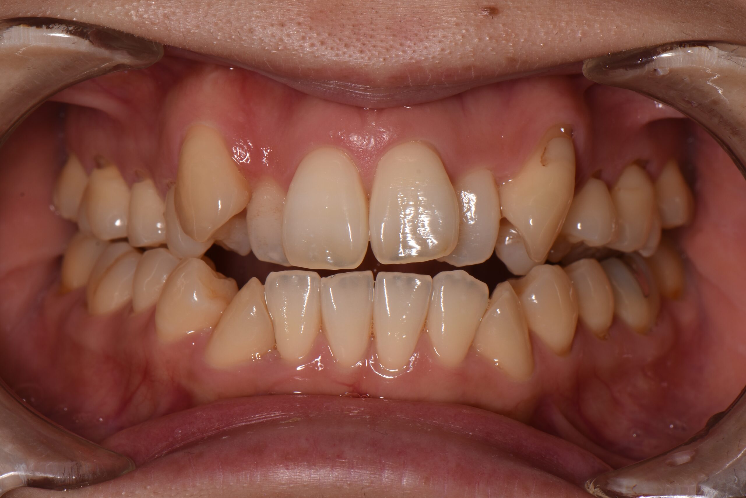
歯と歯の間に隙間がある状態です。
食事のときにうまく噛みきれなかったり、食べ物が歯に詰まりやすくなるなどのデメリットの他に、歯と歯の間から空気が抜けることで、発音にも支障が出るケースもあります。
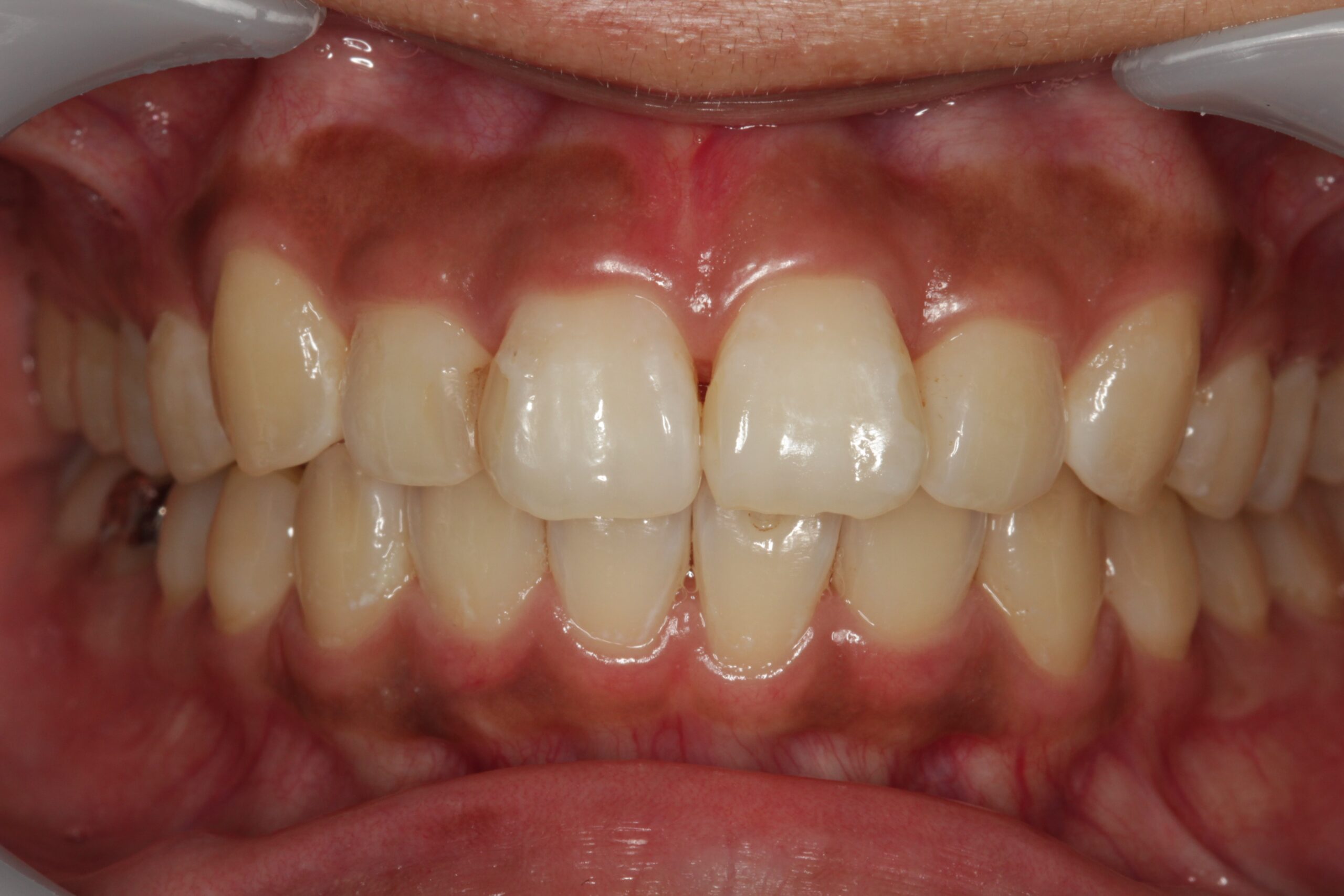
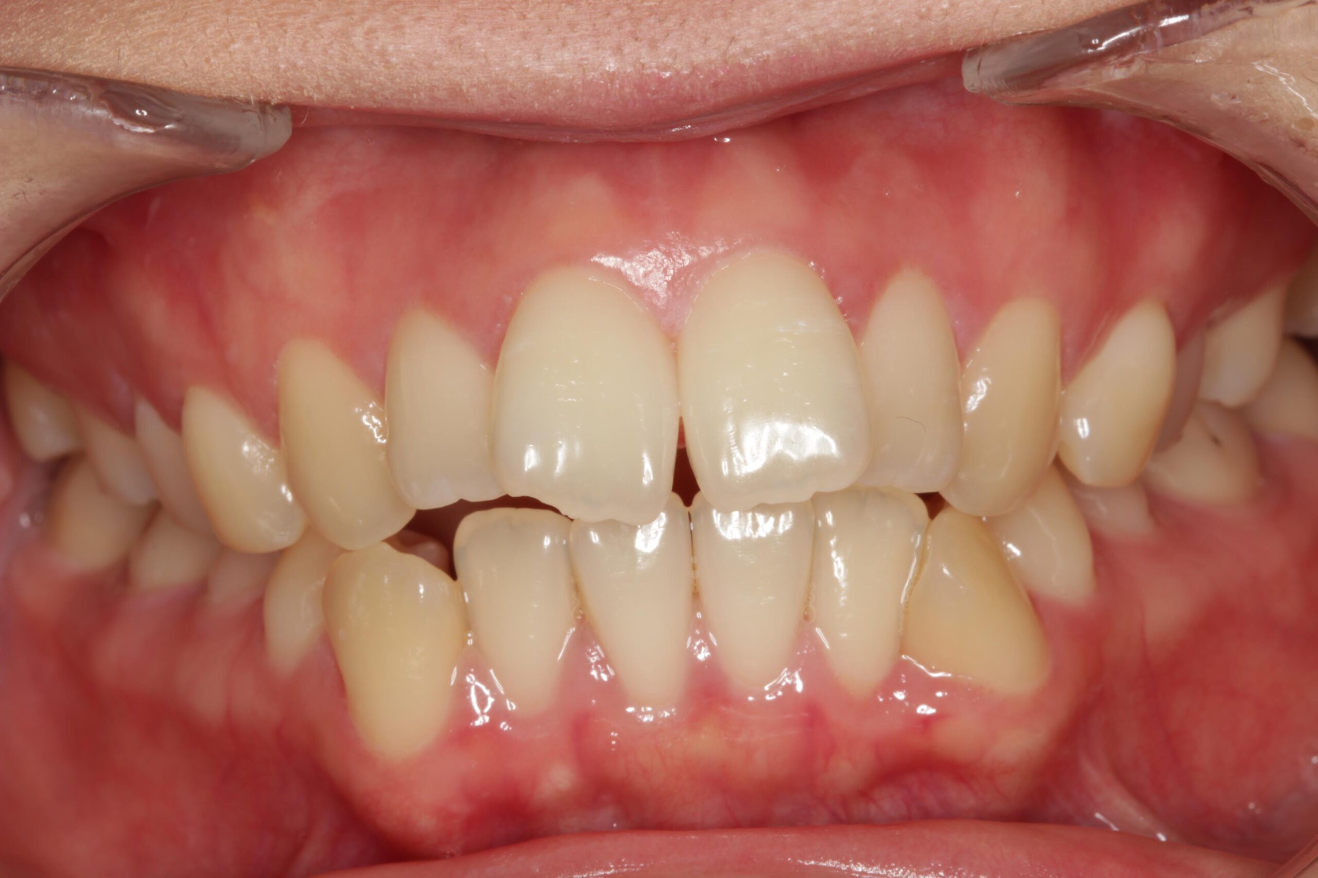
下の歯が上の歯よりも前に出ている状態です。
顎関節への負担や全身のバランスが悪くなる場合があり、お子様の場合は咀嚼が不十分になることで体の発育にも影響する可能性もあります。
よく噛むことは食べ物の消化のしやすさにも直結し、全身の健康にも影響します。
矯正治療で噛み合わせを整えることは、食事のしやすさの改善にも繋がります。
舌や唇の動き、上下の顎のバランス、歯と歯の隙間からの空気の漏れなど、歯並びが原因で滑舌が悪くなり悩んでる方がいらっしゃいます。
歯並びを整えることで改善を見込めるケースがあります。
お口の中全体ではなく、気になる部分だけキレイにしたいというご要望も多くいただきます。
前歯の気になる部分だけをピンポイントで治療することも可能です。
笑うと歯ぐきが見える「ガミースマイル」で笑顔にコンプレックスを抱えている方はまずはお気軽にご相談ください。原因が歯並びにある場合は矯正治療で改善することができます。
矯正治療は
歯科医院選びが大切です
01


口腔内スキャナー「iTero」により、お口の情報をデジタルデータとして取り込むことができ、従来の不快感を伴う型取りが不要です。また、スキャンスピードが早く時間の負担も軽減できます。スキャン後は現在の歯並びから、矯正治療後の歯並びのイメージまで歯の動きをシミュレーションすることが可能です。
02
盛岡市の歯医者・歯科「高橋衛歯科医院」では、歯科用CT、口腔内写真、口腔内スキャナーのデジタルデータを融合した、的確な診断と分析で患者様に適した治療をご提案します。事前の審査・診断を徹底して行うことで、理想とする歯並び、治療のゴールへと導きます。
03
矯正治療について知識を持つカウンセラーが患者様の歯のお悩み、矯正治療の疑問や不安な点をお聞きし、患者様が納得してから治療を始められるように丁寧なカウンセリングを行います。矯正治療の説明も患者様が理解できるまで何度でも丁寧にしますので、何でもご相談ください。
04
矯正治療を専門に行っているクリニックでは、矯正治療中の虫歯や歯周病治療、抜歯など矯正治療以外の診療ができないケースが多いです。盛岡市の歯医者・歯科「高橋衛歯科医院」は、総合診療を行うクリニックのため、矯正治療中の様々なトラブルへの対応や虫歯予防のためのメンテナンスを1医院で完結できます。トータルでお任せいただけるため、患者様のご負担を軽減することが可能です。
05
当院は土曜日、日曜日、祝日も診療しているため、平日は学校や仕事があって通院することが困難な方も、通院しやすいところも特徴です。矯正治療は、治療期間も長期間にわたるため通院しやすいかどうかもクリニックを決める大事なポイントだと考えています。
透明で取り外しができるマウスピース型矯正
インビザラインは、理想の歯並びになるまで1週間ごとにマウスピースを交換していくことで治療を進めていきます。透明なので周りに気づかれずに矯正治療ができ、食事の時は装置を外すため今まで通り食事を楽しむことができます。従来のワイヤー矯正に比べて患者様の負担が少ない治療方法です。
前歯の重なり、出っ歯、すきっ歯など
気になる部分だけを治す
インビザGoは、前歯の重なり、出っ歯、すきっ歯など気になる部分だけを治します。お口全体の歯並びを整えるインビザラインよりも、低予算で、短期間で矯正することができます。
約1年で キレイな歯並びへ
アメリカのアライン・テクノロジー社が開発した、通明で取り外しができるプラスチック製のマウスピース型矯正装置「インビザライン」に矯正加速装置「オルソパルス」を使用します。毎日10分お口にくわえていただくだけで、矯正治療の期間を最大66%短縮することが可能です。盛岡市内では当院でのみ治療可能な矯正加速装置です。
6歳から始める透明マウスピース矯正
インビザラインファーストは、乳歯と永久歯が混在している6才〜9才くらいのお子さまを対象とした、透明マウスピースを利用した矯正治療です。乳歯が残っている時期に、顎の成長をコントロールし、永久歯が生えるスペースを整えていきます。
中学生・高校生のための透明マウスピース矯正
多感な時期の中学生・高校生は、歯並びが悪いことで自分の笑顔に自信を持てなくなったり、思い切り笑うことができずに悩んでいることがあります。高橋衛歯科医院では、学校生活を楽しみながら矯正治療が行える透明マウスピース型矯正インビザラインティーンをご提供しています。
幅広い歯並びに対応通常の1/2の期間でキレイな歯並びへ
高橋衛歯科医院のスピード矯正は「矯正器具を長期間着けたくない」「治療期間を短くしたい」と思っている方におすすめの矯正治療です。従来の矯正治療と異なり、歯の移動や噛み合わせを整えるといった手順を取り払い全て一緒に行うことで、矯正治療期間を大幅に短縮できます。


矯正治療の目的の多くは、歯並びを綺麗にすることだと思いますが、口元の印象が変わるだけで、相手に与える印象は大きく変わると言われています。矯正治療前は「いつも口元を隠して笑っていた」とおっしゃっていた患者様が、治療後に満面の笑みで「自信が持てるようになった」とお話しくださります。


歯並びがガタガタしていたり、重なっていたりすると、どうしても磨き残しによる虫歯や歯周病のリスクが高まります。綺麗な歯並びは、歯磨きがしやすくなり虫歯や歯周病予防にも繋がります。


前歯に隙間があると、どうしても発音しづらい音があります。矯正治療で歯の隙間がなくなると、発音の改善にも繋がります。


矯正治療をすると噛み合わせもよくなり、しっかり噛めるようになります。しっかり噛めないことは胃腸に負担がかかったり、顎に負担がかかり顎関節症に繋がることもあります。
